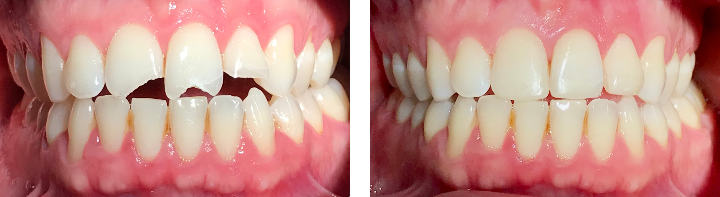
Before & Afters

ABout the CLINICIAN

Dr. Peter Bonifatto is a cosmetic and restorative dentist with a focus on personalized, facially integrated aesthetic care.

His work emphasizes disciplined case selection and the conservation of natural tooth structure whenever possible. Cosmetic treatment is approached as a permanent decision, with planning centered on durability, long-term comfort, and results that remain appropriate to the individual over time.

Dr. Bonifatto earned his Doctor of Dental Medicine degree from the University of Nevada, Las Vegas School of Dental Medicine and has been in clinical practice for nearly a decade.

Each patient is evaluated individually. Facial features, bite dynamics, existing wear, and personal preferences are considered together to inform the final design. Treatment is not standardized or rushed.

Decisions are made with attention to balance, realism, and long-term use rather than short-term effect.

Selected recognitions include:

  • Healthcare Headliner Award, Vegas INC (2025)

  • Star Dentist Award, Southern Nevada Dental Society (2024)

  • Top 20 Doctors of the Year, Deluxe Version Magazine (2023)

  • Invisalign Growth Program Award (2022)

The goal is not perfection in isolation, but outcomes that feel natural, stable, and considered for the long term.

Request a Consultation